Our Services Print
Creating Beautiful Healthy Smiles
Our team at West Bay Dental uses the latest technology to create beautiful, healthy smiles! We are pleased to offer our patients the following services in a friendly and comfortable environment.
Click on the links below to learn more about each service provided by our office. Call or email us if you have any questions.
Cosmetic-Dentistry
The first thing most people notice about you is your smile. Advances in
cosmetic dental care have made it possible for a dentist with the right
training, qualifications and expertise to completely redesign your smile.
West Bay Dental offers the experience, technology, and cosmetic insight needed to transform the appearance of your smile while also supporting long-term function and overall oral health.

We offer a variety of advanced techniques to create the smile of your dreams. We offer Conservative Refurbishing or a Complete Makeover. Call us today to learn how we can give you the smile you deserve.
Contact us for more information about Cosmetic Dentistry.

Porcelain Veneers
Porcelain veneers have been the go-to cosmetic treatment for Hollywood celebrities and models for years because, with just one treatment, we can:
- Instantly whiten teeth
- Fix small chips and cracks
- Eliminate gaps
- Make small or misshapen teeth appear more uniform
- Straighten slightly rotated teeth
They are thin porcelain coverings that fit directly onto the teeth, and they can be custom-made to your exact specifications.

All-Ceramic Restorations
All-Ceramic Restorations give us the ability to repair damaged teeth in a way that looks completely natural. These all-porcelain crowns, inlays, and onlays are just as strong as their metal counterparts, but they can be specially shaded to perfectly match a patient’s tooth color. With them, we can give you a tooth you’ll be able to trust whether you’re simply smiling or biting into your favorite food.

Orthodontics
If you have crooked, crowded, or gapped teeth, you no longer have to get braces to straighten them. Isn’t that exciting? With ClearCorrect and Fastbraces®, we can give you the straighter smile you’ve always wanted in less time and without affecting your daily appearance. With them, you’ll be able to smile with confidence both during and after treatment.

Direct Bonding
Improving your smile has never been easier with direct bonding. West Bay Dental offers bonding services to fill gaps or repair cracked, chipped, or stained teeth. Bonding is a non-invasive, pain-free alternative to veneers or crowns and can often be done without anesthesia. This one-day procedure uses a tooth-colored resin material that is applied to the tooth, sculpted, and then polished to match the look and feel of your natural teeth. Bonding is a fast and simple way to improve the health of your teeth and restore your smile’s appearance.

Teeth Whitening
Nothing gives a better impression than a winning smile. At West Bay Dental, we offer various options for teeth whitening to brighten stained or discolored teeth. Our team will recommend a method that fits your budget and timeframe, and we will help you choose a shade that looks natural, enhances your smile, and boosts your self-confidence.
Dental-Implants
If you are missing one or more teeth, and wish to eat your favorite foods, increase your chewing ability, and improve your appearance, speech, and self-esteem, then you are a candidate for dental implants. West Bay Dental uses the latest implant technology so you can smile again with confidence. Call our office today to schedule your appointment.

Our team thoroughly examines patients' existing teeth, bone levels, jaws, and gum tissues before recommending implants. Implants replace the roots of lost teeth and are inserted under the gums. After 3-6 months, the bone grows around and adapts to the implants as if they were natural roots. Once the implants are firmly in place and the surrounding gum tissue is strong, they are ready to support a crown or restored tooth. When the process is completed, the "new" teeth are often hard to tell apart from a patient's original teeth.
Bone Grafts
If the implant site does not have enough bone volume to support the appropriate sized implant, you will need a bone graft. Bone loss can be the result from periodontal disease, injuries, cysts, infections or an extracted tooth. Normally, it can be determined if you will need a bone graft from your x-ray prior to surgery, but in some cases it is not discovered until opening the implant site.
Bone grafts are very safe and effective in the dental implant restoration. Once it is placed, it will help replace missing bone, stimulate bone formation and increase bone volume.
Dental implant patients experience the benefits of new and permanent teeth, as well as a renewed confidence and improved quality of life. Contact us for more information about Dental Implants.
Dental-Services
Creating Beautiful Healthy Smiles
Our team at West Bay Dental uses the latest technology to create beautiful, healthy smiles! We are pleased to offer our patients the following services in a friendly and comfortable environment.
Click on the links below to learn more about each service provided by our office. Call or email us if you have any questions.
Infection Control
Our team at West Bay Dental pays very strict attention to infection control in our facility and follows OSHA guidelines. The routine protocol for the operatories consists of spraying and wiping with an antibacterial solution of all surfaces that come in contact with the staff and a patient before each patient. Use of disposable barriers on all handles and points of frequent contact, which are changed between patients. Hand washing stations are equipped with hand sanitizers. Personal protection items worn by the staff is either disposable or changed every day.
Contact us for more information about Infection Control.
Dentist-Advanced-Technology
CEREC - Crown in a Day!
Dr. x uses CEREC! CEREC technology is revolutionary to dentistry because it creates a beautiful, esthetic, strong and durable ceramic
restoration that is precisely bonded to the tooth. It is accomplished using a digital scan of the prepared tooth and creating the restorations design using powerful 3D software that allows the dentist to customize the result. The design is wirelessly transmitted to a special milling device that will create your restoration using a dental ceramic.
Because this is done in one visit you do not need to have a bulky, messy impression made of your tooth, you do n
ot
need to wear a temporary crown and you do not need to come back on a separate visit, often weeks away, to have your new crown placed. It is all done in one convenient visit that lasts a little over an hour. And with this technology you can have multiple teeth treated at once to save you time.
Vizilite - Oral Cancer Screening
Dr. x and her caring team understand the importance of detecting oral cancer early. If caught early enough, this form of cancer is one of the most curable.
An annual ViziLite Plus exam, in combination with a regular visual examination, provides a comprehensive oral screening procedure for patients at increased risk for oral cancer. The ViziLite Plus exam is painless and fast, and could help save your life.
ViziLite Plus uses technology that has proven successful in identifying soft tissue abnormalities in other areas of the body. Click here to learn more about this new life saving technology or contact us for more information.
Intraoral Cameras
Dr. x knows that a picture is worth a thousand words especially in dentistry! Dr. x uses small cameras right inside your mouth to take highly magnified digital photos of your teeth. These photos can be displayed on a computer screen for both patient and doctor, and are invaluable in diagnosing and recording dental problems. Intra-oral photos also enables patients to view what the dentist sees when their teeth are being evaluated by the dentist.
Laser Cavity Detector (Diagnodent)
Locating hidden decay before it destroys tooth structure (from the inside out) is a major goal. Finding cavities beneath the hard surfaces is challenging because the disease process can start through microscopic defects in the hard surface can spread into the softer tooth structure beneath the surface.
Recently FDA approved, this amazing laser cavity finder instantly and accurately finds cavities in areas x-rays rarely see and the dental pick misses 76% of the time.
Diagnodent is a major breakthrough that allows us to monitor the areas below the hard surfaces. We can now locate hidden decay, and with treatment stop the spread of the disease before it destroys the tooth from within.

TMJ Therapy
West Bay Dental is able to treat temporomandibular joint disorders (TMD) that create pain and difficulty in the jaw region. The temporomandibular joint acts as a hinge on either side of the head, connecting the temporal bone of the skull with the lower jaw. Our team can target the cause of your TMD by carefully reviewing your patient history, conducting a thorough examination of the joints in your jaw, and reviewing X-rays before recommending an effective, non-invasive treatment plan.

Sleep Apnea Treatment
Sleep apnea is a very serious condition faced by millions of Americans every night, and West Bay Dental is here to help with simple, custom-made oral appliances. These devices help keep a person’s airway open and unobstructed during the night so they can breathe normally and get the deep, restful sleep they need to wake up in the morning feeling energized.

Sedation Dentistry
Our team realizes that going to the dentist can be stressful for many people, which is why we offer sedation dentistry to take the edge off during your visit. Sedation options include nitrous oxide (or laughing gas) and oral sedation (anti-anxiety pills). We will review the effectiveness and side effects of each option with you to determine the best method to help you remain relaxed and comfortable throughout your visit.

CEREC® One Visit Restorations
Thanks to our CEREC system, we can design, fabricate, and place a completely custom-made all-porcelain dental crown in just one visit. That means you no longer have to worry about scheduling a follow-up appointment or dealing with a temporary crown. You come to see us, sit down, and before you know it, you’ll walk out with a completely restored tooth. It’s just that simple

Intraoral Cameras
Our intraoral camera enables us to finally show you your smile from your dentist’s point of view. This small, camera-tipped wand is slightly bigger than a pen, and it can be easily maneuvered through the mouth to capture high-resolution images of the teeth and gums. These images can then be instantly displayed on a large, chairside monitor, and they will help you gain a new, deeper understanding of your dental health as well as help our team better explain why we may be recommending a particular treatment.

Digital X-Rays
Digital X-rays allow us to do a number of things we simply couldn’t with traditional, film-based X-rays. Firstly, they are able to create images in much less time and don’t require a darkroom to be developed, plus they expose our patients (and us!) to much less radiation while they do it. And, because the images are entirely digital, they can be easily sent, stored, and displayed on a nearby monitor so our team can explain exactly what they are seeing.

3D Cone-Beam Imaging
While regular X-rays are great, they sometimes don’t give us all the information we need, in which case, we use our 3D Cone-Beam Scanner. This device enables us to create a fully three-dimensional X-ray image of your teeth, jaw, and other surrounding structures. This will not only help us gain a deeper understanding of your dental health, but it will also help us plan more involved procedures such as dental implant placement. With it, we’ll be able to ensure both a successful procedure as well as an easy recovery.

Digital Impression System
Have you ever had an impression taken with dental putty? If so, then we bet it wasn’t exactly your favorite experience. That’s why we have switched to only using digital impressions with our CEREC system. With this approach, a small device is maneuvered through the mouth that takes hundreds of unique images while doing so. In just a few minutes, these images are “stitched” together on a nearby monitor to create a fully 3D impression. It’s a cool thing to see, and you can watch the entire process from your chair!

Soft Tissue Laser
Our soft tissue laser enables us to effectively treat gum disease while keeping a patient completely comfortable. The laser’s highly-concentrated light is able to instantly vaporize plaque and bacteria located on the gum line as well as remove any infected tissue. And, it’s able to do this while sterilizing the area and not damaging the surrounding healthy tissue, reducing any pain or swelling during or after treatment.
Dentist-Bonding
Dental Bonding is a non invasive technique which is often used to close gaps between teeth, repair broken or chipped teeth or changing the color and shape of teeth. Bonding is a low cost alternative to veneers, but not as strong and has some limitations.
A tooth-colored dental composite material is applied to the surface of your teeth and is sculpted to give a natural and aesthetically pleasing result. This technique requires a level of artistic skill that we possess. We are highly experienced in the latest bonding techniques.
If you are looking for a low cost way to improve your smile, call us today to see if cosmetic bonding is right for you.
Dentist-Botox-Dermal-Fillers
BOTOX® (Botulinum toxin) is a neurotoxin that blocks messages between muscles and the nerves that control them. BOTOX® is a natural protein. It is most powerful muscle relaxant with the least side-effects. Another safety benefit is that the Botulinum toxin does not stay in the body indefinitely. The temporary effects of BOTOX® become apparent 7-10 days after the procedure and generally last 3-4 months.
Head, jaw and neck pain very often has a dental occlusion and masticatory (chewing) muscle origin. This is often misdiagnosed and mistreated with aggressive, irreversible dental procedures, or, narcotic pain killers that leave the patient unable to function normally due to the severe side-effects of the medication. Pain affects one out of four patients and can have a profound effect on their physical, mental and spiritual well being. Recent advances in the understanding of pain have lead to new treatments and pain management techniques for acute and chronic dental and facial pain.
The most common benefit of BOTOX® in dentistry is the reduction in the number of clenching events and their intensity. This will reduce the destruction of your teeth, gums, and jaw joint, reduce the discomfort and pain in your face, jaw joint, teeth and chewing muscles. Other benefits include the elimination of tension headaches and migraines. BOTOX® may also be used to relax muscles that prevent mouth opening. The upper lips can be relaxed to prevent the gums from showing too much when smiling. Excessive and uncontrolled salivary flow can be reduced. A beneficial side-effect may be smoothing of lines between the brows, in the forehead and around the eyes.
BOTOX® is a simple, non-surgical procedure that is usually completed in less than 30 minutes. We will have you contract the muscles in the treatment areas to determine the appropriate injection sites. Anesthesia may or may not be used. Any discomfort associated with the procedure is due to the injections, but is minimal and brief. Some patients have likened it to a "bug bite" or a "light pinch". Finally, we will administer several tiny injections of BOTOX® directly into the muscle or gland. The BOTOX® will only affect the injected areas. Because the procedure is non-surgical and non-invasive, it is highly likely that the patient will be able to leave the office and continue with his or her daily activities.
The problem treated with BOTOX® will disappear for up to four months. The smooth, diminished appearance of the wrinkles may last up to four months. Patients should wait at least three months between treatments. There is also the likely possibility that with repeated treatments, the injected muscles will atrophy allowing the patient to go longer and longer between sessions. Botox may or may not be the best treatment option for the results that you desire. An ideal candidate meets the following conditions.
- Between the ages of 18-65
- Has a dento-facial problem cause by parafunctional muscle activity
- Has a drooling problem
- Does not object to the disappearance of wrinkles
- Looking for a non-surgical solution
- Looking for a temporary solution
- Knowledge about the procedure
- Realistic in expectations
- In good physical and psychological health
- Not pregnant or nursing
Dermal Fillers
As we age, our skin's dermis gradually loses its major constituents: collagen, elastin, and hyaluronic acid. Collagen acts as the major support protein for our skin, elastin allows are skin to stay firm and resist wrinkles, and hyaluronic acid helps to trap water and add volume and shape to our skin.
Dermal fillers, like Juvederm™, are becoming more and more popular as a way to help reverse the changes associated with aging. Because the goal is to return the dermis to its original young state, dermal fillers can give a more natural appearance than plastic surgery and facelifts. Dermal fillers are being used to eliminate or soften wrinkles, reduce scar depressions, enhance lips, and replace volume lost.
Juvederm™ is a synthetic gel made of hyaluronic acid, a naturally occurring substance in you your skin that helps to add volume and hydration. Over time, Hyaluronic acid may diminish with age, contributing to the formation of wrinkles and folds. The smooth consistency gel is used most effectively for those wrinkles and folds in lower third of your face, like your "laugh lines", "smile lines", or "parentheses" (nasolabial folds, the creases that run from the bottom of your nose to the corners of your mouth), or "marionette lines" (oral commissures).
Juvederm™ injectable gel is a minimally invasive, doctor-administered treatment; there is minimal recovery or little to no downtime. So you can make an appointment for treatment and get right back to your life right after. The procedure usually only takes 30 minutes and the results are immediate and lasting usually 3 months. So you can step into your doctor's office for treatment and step right back into your life.
Dentist-Braces
Orthodontics
You can have a beautiful smile with orthodontic braces. We offer braces for adults and children.

Contact us for more information about Braces.
Dentist-Cerec
CEREC
West Bay Dental uses the latest advanced technologies, including CEREC! CEREC technology is revolutionary to dentistry because it creates a beautiful, esthetic, strong and durable ceramic restoration that is precisely bonded to the tooth. It is accomplished using a digital scan of the prepared tooth and creating the restoration’s design using powerful 3D software that allows the dentist to customize the result. The design is wirelessly transmitted to a special milling device that will create your restoration using a dental ceramic.
Because this is done in one visit you do not need to have a bulky, messy impression made of your tooth, you do not need to wear a temporary crown and you do not need to come back on a separate visit, often weeks away, to have your new crown placed. It is all done in one convenient visit that lasts a little over an hour. With this technology you can have multiple teeth treated at once to save you time.
Dentist-Childrens-Dentistry
Pediatric Dentistry is the branch of dentistry which deals with the oral health of children from birth through adolescent, and also in the specialized care of “special needs” patients, such as those with autism, cerebral palsy, and mental retardation. Pediatric Dentistry focuses on the growth and development of the pediatric and adolescent patient, the management and prevention of oral disease and all aspects of pediatric restorative techniques. Also, because the pediatric dentist have to gain the trust and confidence of their patients in an effort to make the dental visit enjoyable, child psychology is emphasized as one of the main components of pediatric training.
Pediatric Dentists are typically required to complete an extra two to three years of post-doctoral dental training, after which they are eligible for board certification by the American Board of Pediatric Dentistry. Most states in the United States, with the exception of Texas, do require a pediatric dentist to have a special permit of license to represent oneself as a pediatric dentist, or limit their professional practice to Pediatric Dentistry.
Pediatric dentists places special emphasis on the prevention of tooth decay, especially since there are studies which have shown that poor oral health in children can not only lead to impaired school performance, but also poor social relationships.
In the same way that pediatricians are trained to meet a child's medical needs, our pediatric dentist is uniquely qualified to protect your child's oral health, using the most advanced techniques.
Contact our office more information about Children's Dentistry.
Dentist-Clear-Correct
What is ClearCorrect? ClearCorrect is the clear and simple way to straighten your teeth without wearing braces so you can show off your smile! | ![]() |
![]() | |
Looking for an alternative to braces? ClearCorrect is the clear and simple choice. No wires. No brackets. Just clear, convenient comfort - every reason to smile.
With ClearCorrect, West Bay Dental can straighten your teeth using a
series of clear, custom, removable aligners. Each aligner moves your teeth just a little bit at
a time until you eventually get straight teeth.
The Choice Is Clear!
With the results and convenience ClearCorrect offers and the advantages it has over other treatment options, it's an easy decision. With ClearCorrect you can get the obvious benefits and confidence you'll enjoy with straight teeth so you too can show off your smile.
Call our office at 360-866-9500 to learn more and schedule your ClearCorrect consultation.

Dentist-Crown-Bridge
A crown (or cap) is a covering made to restore a tooth back to health & function. When teeth are damaged from decay, weak from large old fillings, worn or broken down, crowns can be used to give you back healthy functional teeth.
Crowns can be made out of porcelain, porcelain fused to metal, or full gold. An examination will determine which option will be the best for you.
The most common way to replace missing teeth is to have a bridge placed. A false tooth is made and attached to two porcelain crowns made for the natural teeth that are on either side of the space where the tooth is missing. These crowns and the false tooth are one piece and are fixed over the natural teeth ~ unlike a denture, bridges are not removable. A bridge will not only help with appearance and function but can also allow other teeth to last longer by reducing the stress put on them when a tooth or teeth are missing.
Bridges can be used to replace teeth that are missing from any place in your mouth as long as the teeth that would be used to anchor the bridge are healthy and strong. Our team will recommend the type of bridge best suited for your individual needs. Bridges are used to replace teeth in where teeth are missing. By far, the most comfortable way to replace missing teeth, the patient can eat anything they want without problems.
Dentist-Dental-Links
Dentist-Denture
West Bay Dental uses advanced techniques that allow you to preview what your smile will look like beforehand. Dentures not only replace teeth and make chewing and eating easier but they can restore your smile and your confidence. There are a number of ways to replace teeth and most require several steps to ensure the best look and fit. Make an appointment and we can discuss the options that would best suit your needs.
Dentist-Dentures-Partials
Dentures
Dentures come with huge benefits for patients and can greatly improve your quality of life. With today's technology, dentures are created to look natural in appearance and give the impression of a beautiful smile. Additionally, dentures provide support for your facial muscles as well as assist with your ability to chew and eat food, and they also assist with your ability to speak clearly.
If your teeth have reached the point where you are considering dentures, we invite you to come in for a complimentary consultation. We will do an assessment of your condition and provide you with a list of options tailored to your individual needs. With the advances in dental implants and other techniques in the last twenty years, dentures can often be used in conjunction with implants for enhanced function and comfort. However, for many people dentures alone are a very cost effective solution to the problem of aging teeth and gum disease.
Partials
A partial denture is a removable appliance that replaces missing teeth. It is supported by your existing teeth and fills in those unwanted gaps. It will help to regain the aesthetics and chewing and speaking functions that you require.
Full mouth denture treatments will involve the extraction of any remaining teeth, making impressions to give that perfect, snug fit, and a final fitting appointment. Partial dentures consist of appointments made to examine the health of remaining teeth, taking impressions, and custom fitting the partial appliance.
Contact us for more information about Dentures and Partials.
Dentist-Diagnodent
We want to detect decay before it hurts, and long before conventional x-rays show it. Our laser detection unit finds cavities early enough so we can generally remove the decay without the need for anesthesia. That makes our patients happy; especially the kids, who can return to school without a numb lip and the risk of biting themselves.
Diagnosis is instant, accurate, and 100% comfortable (there is no sensation at all from the laser diagnostic... unlike the "pick"!). Research has shown that because the dental "pick" can't often reach into where the new cavity begins, we (dentists and hygienists) were missing 76% of the most common cavities. See link to Diagnodent on the helpful links page.

Pick Cannot Reach

Diagnodent Sees 2mm
INTO Tooth
Dentist-Digital-X-rays
Unlike traditional x-rays, digital x-rays use electronic digital sensors which are connected to a computer, to capture images of the mouth. These images are not only higher quality images that traditional x-rays, but they can be seen immediately by the dentist, which usually results in shorter dental appointments. Having digital x-rays makes it easier to transfer your dental records between dental offices.
Even though traditional x-rays are relatively safe, there are concerns by many about the amount of radiation they are exposed to when they get dental x-rays. Digital radiography will be the perfect option for them since it is estimated that digital X-rays use up to 90 percent less radiation than traditional x-rays!
Contact us for more information about Digital X-rays.
Dentist-Emergency-Care
Emergency dental contact information:
360-866-9500
We understand that emergencies arise at the most inopportune time. We do offer after hours emergency service for your convenience. If the office is closed, up to date doctor phone numbers will be provided so you can reach us promptly.
- Walk-ins for emergency dental care are welcome. Root canal, extraction, surgical extraction, wisdom tooth pain. We can handle most dental emergencies the same day (broken tooth chipped Tooth, Toothache).
- If you are having problems breathing because of an infection or trauma. Please go directly to your nearest emergency room.
We hope we can be of service to you and your family.
Dentist-Extractions
In life, there may be a time where it is necessary to perform a tooth extraction. There are times when baby teeth block the adult teeth from erupting properly. Either the root is too long, or the tooth itself is misshapen. Other times, a tooth may require extraction due to excessive decay, putting the jaw bone and surrounding teeth at risk of infection. Your doctor may recommend removal and replacement with a implant or bridge. Your doctor may also recommend removal due to problems with your wisdom teeth or orthodontic correction.
When your doctor notices a tooth he recommends for extraction he may recommend to remove it at the time of the checkup if necessary or reschedule an appointment to perform the procedure. The procedure is relatively quick, yet it requires your doctor expand your tooth socket in your jaw bone to separate the tooth from the ligament that holds it in place. If you have concerns it is important to bring them up with your doctor along with your preference for sedation.
Replacing an extracted tooth is often recommended by dentists. This is because after a tooth has been removed, neighboring teeth may shift, causing complications with chewing and jaw function. Consult with your doctor to see if replacement is right for you.
Contact us about Extractions for more information or to book an appointment.
Dentist-Family-Dentistry
If you are looking for a gentle, courteous, and friendly dentist, then you've come to the right place. Our practice offers dental services for the entire family. Your oral health has a significant impact on your overall well being and our team is dedicated to providing you and your family with the best dental care possible.
Our practice provides a variety of cosmetic, preventive and restorative dental care. We welcome children and adults for cleanings and routine dental care, that helps maintain a beautiful healthy smile.
View our list of Patient Services, and feel free to call us for more information. We look forward to serving you and your family.
Dentist-Fast-Braces
West Bay Dental is proud to offer Fastbraces® Technology. Reach out to our office to learn how this treatment can help you achieve the smile you have always hoped for.
What are Fastbraces®?
Fastbraces® is a new innovation developed to straighten your smile more quickly and succinctly. The Fastbraces® technology has revolutionized orthodontics as it is affordable as well as fast, easy and yes – entirely safe. This iconic new system is completely transforming the way people are straightening their teeth. For most cases, it is a complete system without the use of extraction and so far, has been providing users with unparalleled results.
How does it work?
Traditionally, braces work through two phases in order to shift teeth into the desired positions. This process would ordinarily take two years in which the first year sees the movement of the visible crown of the tooth and the second year shifts the root of the tooth. When you choose the Fastbraces® method, your brackets will operate under an entirely different principle of mechanics. This patented system employs a revolutionary triangular bracket and a wire which is specially shaped to correct root position from the beginning. This innovative combination of mechanics will allow that your braces do twice the work in half the time while safely and effectively realigning your entire oral structure.
How long does it take?
Fastbraces® supports the movement of your tooth roots from the very onset of your treatment. This will achieve root parallelism in the very early stages. Your treatment will thus take anywhere from 3 months to about a year with visible results starting as soon as just a few weeks from implementation.
For more details about Fastbraces® Technology or to schedule an appointment, call 360-866-9500.
Are YOU The Right Candidate for Fastbraces®?
We have devised a few straightforward questions to ask yourself in order to determine whether you would be the ideal candidate for this service:
Are you in the market for a straighter and more beautiful smile?
If so, would you like to see those results in a few short months instead of multiple years?
Are you concerned about the discomfort of braces and hoping to experience little sensation throughout?
Are you concerned about the cost of braces and hoping to save money?
If you find yourself identifying with “yes” answers to one or more of these questions…
CONGRATULATIONS! This means you could be the perfect candidate for Fastbraces®!
Call us today to set up a consultation and discuss how Fastbraces® could work for you!

Dentist-Full-Mouth-Restoration
What is Full Mouth Restoration?
Full mouth restoration, also known as full mouth reconstruction, is used to help the patient achieve optimal health of the entire mouth, including gums, teeth, and bite. This is done by addressing several dental issues, such as missing and damaged teeth, gum, and periodontal bone problems. It typically includes a combination of cosmetic and restorative dentistry services such as dental implants, dental crowns, bridges, veneers, gum re-contouring and fillings. It may also include treatment to improve the bite, such as orthodontics and TMD treatment to correct problems involving temporomandibular joints.
Since full mouth restorations usually require extensive dental work that may include several oral surgery procedures, the ideal candidate should be in good general health, even though they are suffering from poor oral health. Even though full mouth restorations require multiple visits of extensive work many are willing to pay that price for an enhanced appearance, restored self-esteem and optimal oral health that will last for many years.
If you are interested in full mouth restoration, call us today to schedule a consultation.
Contact us for more information about Full Mouth Restoration.
Dentist-General-Dentistry
West Bay Dental offers a variety of general dentistry services for adults and children. Please see our list of services in the service menu below. Our Practice is about integrity. We earn our patients' trust by focusing on their long term well being.
Our practice is committed to your comfort. Patients often say they feel the red carpet treatment the moment they call.
From the minute you walk through the doors our entire staff is here to help make your visit the most comfortable dental experience.
Dentist-Gum-Care
Essential Gum Care for Optimal Oral Health
West Bay Dental offers a comprehensive periodontal program designed to help patients avoid tooth loss and maintain healthier bone levels. Our team provides gentle, comprehensive nonsurgical gum care and soft-tissue treatment that helps restore and protect smiles.
Contact us for more information about Gum Care.
Dentist-Infection-Control
Our team at West Bay Dental pays very strict attention to infection control in our facility and follows OSHA guidelines. The routine protocol for the operatories consists of spraying and wiping with an antibacterial solution of all surfaces that come in contact with the staff and a patient before each patient. Use of disposable barriers on all handles and points of frequent contact, which are changed between patients. Hand washing stations are equipped with hand sanitizers. Personal protection items worn by the staff is either disposable or changed every day.
Contact us for more information about Infection Control.
Dentist-Inlay-Onlay-Restorations
Dentist-Invisalign

West Bay Dental offers Invisalign as a virtually invisible way to straighten your teeth without braces, metal wires, or brackets.
The Invisalign treatment consists of a series of clear plastic aligners, created precisely to gently and gradually move your teeth into place. By using a series of clear removable aligners, Invisalign straightens your teeth right before your eyes. Change them about every two weeks, and your teeth will move little by little, week by week, until they reach the final position in your customized treatment plan. Using advanced 3-D technology, we can predetermine your treatment plan and show you the results you could achieve before you even begin treatment.
Some of the benefits of the Invisalign system include:
- Virtually Invisible – Only you will know you're wearing braces.
- Completely Removable – Eat, drink, brush and floss, or take them out for special occasions.
- Faster Treatment Time – No fixed metal brackets or wires to adjust means you'll spend less time visiting the doctor. You will receive a new set of aligners every other week during your Invisalign treatment. A trip to our office will occur every 6 weeks on average to ensure that your treatment is going according to plan.
Is Invisalign for me?
Invisalign can be used to treat the vast majority of common problems for adults and teens. Whether your smile needs minor improvements or more extensive adjustments, Invisalign can certainly help. It's successful in treating overly crowded or widely spaced teeth. It can also relieve more complex issues, including overbites, underbites and even crossbites. In fact, our team can use Invisalign clear aligners in all or part of just about any treatment plan.
Invisalign - View the Process and Results.
Contact us for more information about Invisalign.
Dentist-Invisible-Braces
Invisalign
![]() | ![]() |
![]() What is Invisalign? Invisalign is the invisible way to straighten your teeth without braces. Invisalign uses a series of clear removable Aligners to straighten your teeth without metal wires or brackets. It has been proven effective in clinical research and in practices nationwide.How Does Invisalign Work? You wear each set of Aligners for about 2 weeks, removing them only to eat, drink, brush, and floss. As you replace each aligner with the next in the series, your teeth will move - little by little, week by week - until they have straightened to the final position your Invisalign provider has prescribed. You'll visit your doctor about once every 6 weeks to ensure that your treatment is progressing as planned. Total treatment time averages 9-15 months, and the average number of Aligners worn during treatment is between 18 and 30, but both will vary from case to case.How Are Aligners Made? You'd Be Amazed... The Aligners are made through a combination of your doctor's expertise and 3-D computer imaging technology. |
Dentist-Invisible-Braces-Faq
![]() | ![]() |
| Frequently Asked Questions
|
Dentist-Invisible-Braces-Process
![]() | ![]() |
The
Invisalign System Process
|
Dentist-Invisible-Braces-Results
![]() | ![]() |
| The
Results Below are cases of actual Invisalign patients.
| ||||||||||
Dentist-Laser-Dentistry
West Bay Dental uses advanced laser technology to deliver precise, efficient, and comfortable treatment. This modern approach helps us perform many procedures with less discomfort and excellent clinical results.
West Bay Dental is proud to offer full-service laser dentistry for patients seeking modern, minimally invasive care.
The Waterlase, by Biolase, is an all purpose laser. Simple in its design but extremely versatile. It can cut both soft (gums) and hard (teeth and bone) tissue without discomfort in most cases.
Our Diagnodent laser allows us to diagnose decay BEFORE it can be seen by the eye or even on X-Ray. When this is combined with the Waterlase a patient can be assured of never needing another BIG filling.
It is our pleasure to offer these services to our patients.
Benefits of Laser Dentistry
We are pleased to offer this state-of-the-art technology to our patients. Lasers represent one of the most exciting advances in dentistry, helping improve comfort, precision, and healing.
Just imagine...
- Having gum surgery without the need for needles and no bleeding or stitches, being able to eat, drink and talk right after surgery with no discomfort.
- Having teeth filled without the need for needles, being able to eat and talk and chew right after fillings.
- Having small fillings that just remove the decay and are the natural color of the tooth, all done in one visit.
- Not needing to hear the sounds of the dental drill.
- An instrument that sterilizes as it heal . . . THAT IS WHAT LASERS DO!
All this is routine for our patients!
Contact us for more information about Laser Dentistry.
Dentist-Lumineers
West Bay Dental offers Lumineers®. These veneers are as thin as contact lenses. In many cases, Lumineers® can be placed without drilling, tooth reduction, or the need for temporaries. While some minor polishing and enamel recontouring may be necessary, these veneers are done painlessly, with no shots, and provide a reversible, non-invasive procedure that is proven to last for up to 20 years. Even dark tetracycline-stained or yellowed teeth can be completely masked with a bright, natural-looking result.



Contact us for more information about Lumineers Veneers.
Dentist-Metal-Free-Crowns
Crowns, or caps, are used to restore broken or cracked teeth. The new metal-free crowns eliminate the ugly black line you may have seen next to the gum line on older crowns.
For decades the standard in dentistry for crown and bridge restoration materials has been the PFM (porcelain-fused-to-metal). The framework for the dental crown was produced in metal and then covered with a porcelain layer.
Now with the evolution of all ceramic materials and their higher esthetic qualities, dental patients have options. Metal free framework beneath the porcelain gives excellent aesthetic qualities to make the final restoration extremely natural looking.
Contact us for more information about Metal Free Crowns.
Dentist-Mouth-Guards
A mouthguard is a soft plastic appliance that fits over the teeth. When a properly designed, custom-made mouthguard is worn, the lips, cheek, tongue and jaws are protected, as well as the teeth. The American Dental Association estimates that mouthguards prevent 200,000 injuries each year in high-school and college sports alone.
Nightguards are mouthguards that have been specially designed to be worn by people who suffer from teeth grinding or jaw clenching while they are sleeping. Untreated teeth grinding and jaw clenching can lead to severe damage of your teeth.
Contact us for more information about Mouth Guards/Night Guards.
Dentist-Oral-Cancer-Screening-Velscope
VELscope - Patient Education
Why VELscope?
The VELscope system helps dental professionals visualize abnormalities in the mucosal tissues of your lips, mouth and upper throat. In just two minutes, with no rinses, stains or discomfort, a VELscope examination lets healthcare professionals improve their assessment of your overall oral health.
Make sure that your mouth is as healthy as it can possibly be. The next time you visit Smile Help Dental, ask for a VELscope exam.
How Does the VELscope Work?
The VELscope's blue light "excites" molecules (called "fluorophores") deep within the layers of oral mucosal tissues. In turn, those fluorophores emit their own light (fluorescence), in shades of green, yellow and red. The VELscope's proprietary filter makes fluorescence visualization possible, by blocking reflected blue light, and by enhancing the contrast between normal and abnormal tissue.
Dentist-Orthodontics
Dentist-Periodontal-Treatment
Essential Gum Care for Optimal Oral Health
West Bay Dental offers a comprehensive periodontal program designed to help patients avoid tooth loss and maintain healthier bone levels. Our team provides gentle, comprehensive nonsurgical gum care and soft-tissue treatment that helps restore and protect smiles.
Contact us for more information about Periodontal Treatment.
Dentist-Porcelain-Veneers
Porcelain veneers offers the ultimate in esthetics. A veneer is a thin facing or
covering that bonds to the natural tooth structure. A much more conservative
alternative to crowns (caps) that can give you the smile you have always dreamed
of and deserve.
Porcelain veneers are top line in cosmetic dentistry. If your teeth are chipped, broken, or discolored, porcelain veneers are a great way to change the color and shape of your teeth. Veneers can be a great alternative to braces for slight orthodontic problems and provide a beautiful smile in a short amount of time. The results are simply gorgeous!


Contact us for more information about Porcelain Veneers.
Dentist-Post-Op-Instructions
Ask us for after care instructions for the following:
- Cleaning - Post Op Instructions
- Crown Preparation - Post Op Instructions
- Crown Seat - Post Op Instructions
- Extractions - Post Op Instructions
- Fillings - Post Op Instructions
- Root Canal - Post Op Instructions
- Scaling and Root Planning - Post Op Instructions
Dentist-Post-Op-Instructions-Cleaning
- Please brush and floss as directed by your Dental Professional.
- If your gums are tender after the cleaning, please take Advil or Tylenol for any discomfort.
- If a deep cleaning was done, the gums will usually recede because they are healthier but the teeth may be sensitive to temperatures. Please let us know if this occurs.
- Your dental professional will recommend a continuing care schedule that is catered to your needs. Please return for your next scheduled recare visit to provide a lifetime of lasting oral health.
Dentist-Post-Op-Instructions-Crown-Preparation
- Please do not chew on the temporary crown for approximately 30 minutes.
- The gums around the tooth may be sore for 2-3 days following the procedure. Advil or Tylenol is best to take if this does occur.
- With the temporary crown, please refrain from chewing anything chewy or sticky on that side (gum, taffy) Also, please avoid eating popcorn or nuts during this period of time.
- If the temporary crown does happen to come off you can try to put it back on yourself with some toothpaste or denture adhesive. The temporary only goes on one way so if your bite feels fine, then it is on correctly. Please call us to have the temporary crown re-cemented at your earliest convenience if this does happen.
- Please brush the temporary crown like your other teeth, but avoid flossing around that tooth. If something should get stuck between the teeth, floss through the contact and pull the floss out the side to avoid hooking the margin of the temporary crown and pulling it off.
- Please return at your appointed date to have the permanent crown cemented.
Dentist-Post-Op-Instructions-Crown-Seat
Your new crown is now fit for chewing after approximately 30 minutes.
Please brush and floss the new crown as with your other teeth. You can still get decay under a crown if proper oral hygiene is not performed.
The crown can be sensitive to temperatures for 3-5 days. Please return to our office if this should continue for a longer period of time.
If you should notice the bite being a little off or high when chewing, please call our office to have this corrected
Dentist-Post-Op-Instructions-Extractions
When you leave the office, you will be biting on some gauze. Please continue to bite with firm pressure for 15-20 minutes. At this time, remove the gauze and place another packing in the extraction site. Make sure to wet the gauze and fold into a pillow and bite down with firm pressure. The majority of the bleeding should stop within 20-30 minutes of leaving the office. If heavy bleeding continues, call our office immediately.
If a prescription medication was given after your procedure, take as directed before the anesthetic wears off. This is a more effective way of using the medication than to wait until discomfort has started.
Avoid smoking, alcohol, and carbonated beverages for at least 24 hours. Spitting or sucking through a straw should also be avoided to prevent the dislodging of the clot. This can cause a dry socket which is very painful. Please eat soft foods the day of the surgery and avoid foods such as peanuts, popcorn, or rice for a couple of weeks until the extraction site has healed over.
Do not brush your teeth the day of the surgery. After 24 hours, you can brush and floss like normal (carefully around the extraction site) followed by rinsing gently with a warm salt water rinse (1 teaspoon salt to 6-8 oz of water). This will cleanse the extraction site. Continue to do so 3-4 times per day for approximately 1 week.
If a temporary denture was inserted that day, please return the following day for an adjustment.
Dentist-Post-Op-Instructions-Fillings
The new filling you have is ready for chewing, however, be careful with the anesthetic. Your tongue and cheeks are numb and you may bite on them and not know it. (This is especially true with children. Remind them not to bite on their tongue until it wakes up)
With new fillings, they are sometimes sensitive to cold for 3-5 days. If this sensitivity should last longer than that time, please seek out you dental professional.
When the anesthetic leaves the teeth, if you should happen to notice the bite feeling not right or high, please call us to have this corrected immediately.
Root Canal – Post Operative Instructions
After root canal therapy, your tooth can be very sore to chew on. Please refrain from chewing on the tooth for approximately 5 days. Please take the directed medications to help any inflammation which has occurred at the end of the root in the bone. If you experience swelling in the area where the root canal was performed, please call our office immediately to have the situation evaluated. If this was to happen, it usually occurs within a 24 hour period from the appointment date. A temporary filling is usually placed in the tooth for the period between appointments unless otherwise stated by your doctor. After a root canal is initiated and completed, the tooth has been weakened. Please do not chew anything hard like nuts or popcorn until it is reinforced with a crown. It is possible that one can chew on the tooth and split it down the roots. If this was to happen, the tooth would need to be removed.
Scaling and Root Planning – Post Operative Instructions
- Before anesthetic wears off, it is a good idea to take an over-the-counter medication. Tylenol or Advil would be fine.
- The goal of the treatment you have received is to decrease the amount of inflamed tissue supporting the teeth. Healthy tissue is light pink in color and has little if any bleeding. Because of the inflammation, healthy tissue is going to shrink and recession of the gums is a possible outcome. With recession comes temperature sensitivity. This can be decreased with an fluoride rinse or gel ( ex. Prevident or Gel Kam)
- If a localized antibiotic was place in your gums, do not floss around the tooth or teeth for approximately one week. All other teeth should continue with good home care in order to make your treatment a success.
- Please return at your recare visits as instructed by your dental professional to follow up on any additional treatment that may be needed
- If any problems occur, please call our office.
Preventive Care
Healthy teeth and gums are the foundation of oral health. A periodic tooth cleaning is important for several reasons. It lets us remove the tartar and plaque that build up around your teeth, helping prevent periodontal disease. Also, when you come into our office on a regular basis, we can monitor the health of your teeth and gums and look for any signs of changes or problems.
We offer a variety of dental services to give you, and help you maintain, a beautiful healthy smile. Call or email us if you have any questions.

Checkups & Cleanings
With gentle care, minimally invasive procedures, and advanced technology, we can restore and enhance the natural beauty of your smile, and it all starts with checkups and cleanings. Dr. Cindy Wolt performs thorough examinations on every patient to identify problem areas and prevent them from becoming more serious issues. And if going to the dentist isn’t your favorite activity, let us know, and we will do our best to minimize your stress and keep you as comfortable as possible during your exam.

Periodontal Therapy
Our team will perform a thorough periodontal assessment at every dental exam to check for the signs of periodontal or gum disease. The earliest stage of gum disease is called gingivitis, often marked by redness and soreness of the gums. If untreated, gum disease can progress and ultimately lead to heart disease or stroke. Regular checkups and treatment at West Bay Dental are your best defense against gum disease.

Sports Mouthguards
If you or your child regularly participate in sports, make sure everyone’s teeth are protected with a mouthguard because dental injuries are actually one of the most common sports injuries! We can provide you with your own custom-made mouthguard that will be specially-designed to fit your teeth, making it much more comfortable and better at defending your smile compared to anything you can buy at the store.

Nightguards for Bruxism
Do you frequently wake up with a sore jaw, or do your teeth look like they’ve been worn down? If so, you may be suffering from bruxism, a condition where a person unconsciously clenches their jaw and grinds their teeth while they sleep. Over time, this can cause the teeth to weaken, break, and it can even strain the jaw! With a nightguard, fortunately, we can keep all of this from happening. It is a small, custom-made mouthpiece that you’ll only wear to bed, and it will provide a protective barrier between your teeth to keep them safe during the night.

Emergency Dentistry
Should you or a loved one experience a dental emergency, whether due to an accident or a severe dental infection, you can always turn to our practice for immediate help. Just give us a call, and we’ll do everything we can to see you as quickly as possible and relieve your pain.

Pediatric Dentistry
West Bay Dental is happy to see patients of all ages, young and old. We’ll make sure that your child’s visits to the dentist are always light, fun, and enjoyable. Our staff focuses on making appointments positive learning experiences so children can build a lifelong commitment to strong oral health and hygiene.
Patient Services
Full mouth Dental Rehabilitation
Highly effective techniques used to reconstruct teeth that are badly broken down
or in poor condition.
Restorative Dentistry

Dental Implants
If you have a damaged or missing tooth, West Bay Dental offers implants to repair it and leave you with a new, beautiful tooth. Implants are highly effective and very common. The procedure consists of replacing the root of the damaged or missing tooth with a small titanium post that acts as an anchor for a new one. Once placed, the resulting tooth is strong, fully functional, and tinted to match your natural tooth color.

Full Mouth Rehabilitation
Our team of experts is able to handle even the most complex dental cases with relative ease. If you have multiple dental problems that can’t be fixed with just one procedure, then we can fully restore your smile’s shine with a full mouth rehabilitation. With it, we can bring back even the most damaged smile’s appearance and function at the same time, no matter what state it is in now.

Crowns & Bridges
Whether you have decayed, fractured, or missing teeth, crowns, and bridges can help bring them back. A crown can restore a tooth’s original shape and size and even be used with a dental implant or bridge to replace missing ones. And, thanks to CEREC technology, we can often design, fabricate, and place one in just one visit.

Inlay & Onlay Restorations
West Bay Dental offers inlay and onlay restorations to repair teeth that have been damaged by defective fillings, decay, or trauma. Made of a composite or porcelain material, inlays/onlays are custom-fitted to your teeth and permanently bonded. Compared to crowns, inlays/onlays are less invasive, providing a more comfortable alternative along with long-lasting, beautiful results.

Tooth-Colored Fillings
Tooth-colored fillings are made of a composite resin, and they enable us to repair a small cavity or slightly damaged tooth without affecting its appearance like a traditional amalgam filling. This material can be specially shaded to blend in with a natural tooth, and because it is metal-free, it also won’t make a tooth more sensitive to hot and cold temperatures either.

Full & Partial Dentures
If you are missing multiple teeth, then dentures offer a quick, reliable, and affordable way to replace them. Whether you are missing a just few teeth or an entire row, we can provide you with a denture that will help you smile with confidence and enjoy your favorite foods without a second thought.

Root Canal Therapy
When decay reaches the nerve of a tooth, a root canal is necessary to prevent the removal of the tooth. At West Bay Dental, we use the most up-to-date procedures and modern technology to perform root canals that are more comfortable and effective than those in the past. The procedure consists of removing infection or decay from the tooth, sealing it with a permanent filling, and placing a crown over it to protect it from further damage. Once completed, you will have a fully functional, strong, and healthy tooth.

Tooth Extractions
Extractions can be necessary due to extensive decay, permanent damage, orthodontic treatments, or dentures. In any case, our team will perform your extraction with precision while minimizing any pain or discomfort you might feel. Replacements, such as dental implants or dentures, can fill in any gaps and prevent the other teeth from shifting while improving your smile.
Root Canal Treatment
Root canal treatment is also known as endodontics. Root canal treatment is required when tooth decay has broken through the outer enamel and infected the heart of the tooth.
Our goal is to save your natural teeth and avoid extractions whenever possible. The reason for this is because removing natural teeth leaves gaps which then cause the other teeth to compensate. It can then affect your bite and cause a host of other affiliated problems.
But what happens when a tooth has become infected right in the center? Usually there is no avoiding an extraction, as the pulp is infected. Essentially, this means that the nerves at the heart of the tooth are slowing dying. Not to mention the fact that you will probably also be experiencing quite a bit of pain.
Under these circumstances, most patients want a quick fix – an extraction. While extraction may remove the offending tooth, it is not the best option in the long term. We prefer to try root canal surgery first. This way, the infection can be cleared and the tooth can be kept in place.
Contact us for more information about Root Canal Treatment.
Scaling and Root Planing
While routine dental cleaning is done to help prevent gum disease, to help treat gum disease, dentists use a non-surgical method called scaling and root planing. This is a deep cleaning that is done below the gumline. When plaque is not properly removed from the teeth, it can cause the gums to get inflammed. When this happens, the gum can pull away from the teeth, forming pockets, that can trap the plaque and tartar. Scaling removes the plaque from below the gumline. After the scaling is done, the root planing is done to smooth the root of the tooth, helping the gum to reattach to the tooth.
The scaling and root planing procedure may sometimes require more than one visit.
Contact us for more information about Scaling and Root Planing.
Sealants
Sealants are used to help protect the teeth from decay. The dental sealant is a thin coating usually applied to the fissures (grooves) of the back teeth. Even though plaque and food particles can be removed from the smooth surfaces of the teeth by brushing and flossing, it can be difficult to get all the food particles out of the depressions and grooves of the tooth. The sealant forms a protective shield over the enamel of the tooth by bonding into the depressions and grooves of the tooth, adding an extra protection for the tooth.
Contact us for more information about Sealants.
Sedation Dentistry - Oral
Oral Conscious Sedation
Relax, you're in great hands!Nearly 50% of the population feels nervous or uncomfortable about going to the dentist or having dental procedures done.
We understand the importance of helping patients feel relaxed and comfortable during dental procedures. If you feel that sedation is necessary for your dental care, give us a call to learn more about our sedation dentistry.
We offer Oral Conscious Sedation. Take a pill one hour before your appointment and you can relax or sleep through your visit.
Oral sedation is very safe, and can assist us in completing all your dentistry in one visit.
The pills stay in a patient's system for several hours after the appointment, so there are few complaints of pain after procedures are completed.
How You May Feel
Most patients remember nothing about their treatment. A few will remember a little, usually at the end of the appointment when we are getting them ready to go home. You will need someone to bring you to our office on the day of your sedation appointment and you MUST have someone take you home afterwards.
Safety of Sedation
The reason that we use oral sedation is because of its safety. We use monitoring equipment to monitor your pulse and blood pressure. You'll be done before you know it, completely unaware of the time passing, totally relaxed.
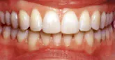
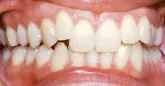
Smile Gallery
The photos show a sampling of results and are for illustrative purposes only.
Individual results may vary.
Snap-On Smile
Snap-On Smile was invented by a dentist who realized that not everyone can afford many thousands of dollars to get a Hollywood smile make-over.
Snap-on Smile's unique, proprietary formula of hi-tech dental resin make it very thin yet extremely strong. It fits right over your own teeth to give you a beautiful, natural looking smile - even if you have stains, chips, gaps or missing teeth.
And for many people, Snap-On Smile can be life changing. It gives back the confidence to smile. Thousands of people worldwide have already experienced the unique benefits of Snap-On Smile.
At your first visit, we will examine your teeth, determine whether you are a candidate for Snap-On Smile, and discuss whether you want treatment for your upper or lower arch. We will then take an impression of your teeth. Don't worry - There is no pain, no shots and no drilling involved! Since each Snap-On Smile is custom made, the dentist will send your impression to the studio to have yours made just for you.
At your second visit, approximately 3 weeks later, we will fit your Snap-On Smile and make any minor adjustments needed. You'll then be shown how to pop your new smile in and out, plus how to keep it looking good.
Remember, you can eat with it, drink with it, and wear it all day every day. (Just remove it when you sleep).
Call or email our office to learn more.
Advanced Technology
Advanced Technology with a Soft Touch
Intra-Oral Camera
We know that a picture is worth a thousand words, especially in
dentistry! We use small cameras right inside your mouth to take highly
magnified digital photos of your teeth. These photos can be displayed on a
computer screen for both patient and doctor, and are invaluable in diagnosing
and recording dental problems. Intra-oral photos also enable patients to view
what the dentist sees when their teeth are being evaluated.
Digital X-rays
Digital radiography is the latest way to take and evaluate x-rays. With digital
x-rays, less radiation is needed to produce high-quality images. These images
can then be evaluated by our team on a large flat-screen monitor. This allows for
easier detection of any problems. With such a large image, it is also easier for
patients to see and understand what is happening with their teeth.
Computerized Cosmetic Imaging
Have you ever wondered what you would look like with a more beautiful smile? We
have software that allows you to see and review the benefits of cosmetic
treatments before they are done. This innovative software allows us to take a
digital photo of you and illustrate the various ways we can improve your teeth
and enhance your smile. You'll have a window into the new you! This wonderfully
interactive method helps you envision your beautiful new smile.
Laser Cavity Detector - Diagnodent
The Diagnodent is an FDA-approved diagnostic laser that is used primarily
to locate decay below the chewing surfaces of back teeth in deep grooves and
pits. These areas can have decay that is virtually impossible to detect with
routine dental instruments.
The Diagnodents laser will detect decay-producing bacteria and give a digital
readout to guide the dentist to take the appropriate action: no treatment, or
need for anesthetic. We use a specialized laser to detect cavities in the
pits and grooves of teeth long before they could be found with traditional
techniques. With this state-of-the-art instrument, called
DIAGNODENT, we are able to keep teeth healthy and natural with early
intervention.

















1
1
1
1